Paget's Disease Breast Metastasis . Web paget's disease of the breast is a symptom of underlying breast cancer. Treatment is variable and is determined by the type of breast. Web paget disease of the breast (also known as paget disease of the nipple and mammary paget disease) is a rare type of cancer. Web paget’s disease of the breast is an uncommon type of breast cancer that usually first shows as changes to the nipple. Web  paget’s disease is a sign that there might be breast cancer in the tissues behind the nipple. It is possible for someone.
        
         
         
        from www.neurologyadvisor.com 
     
        
        Web paget's disease of the breast is a symptom of underlying breast cancer. Treatment is variable and is determined by the type of breast. It is possible for someone. Web  paget’s disease is a sign that there might be breast cancer in the tissues behind the nipple. Web paget disease of the breast (also known as paget disease of the nipple and mammary paget disease) is a rare type of cancer. Web paget’s disease of the breast is an uncommon type of breast cancer that usually first shows as changes to the nipple.
    
    	
            
	
		 
	 
         
    Paget's Disease of the Breast and Extramammary Paget's Disease 
    Paget's Disease Breast Metastasis  Web paget's disease of the breast is a symptom of underlying breast cancer. Web paget's disease of the breast is a symptom of underlying breast cancer. It is possible for someone. Web paget’s disease of the breast is an uncommon type of breast cancer that usually first shows as changes to the nipple. Web paget disease of the breast (also known as paget disease of the nipple and mammary paget disease) is a rare type of cancer. Treatment is variable and is determined by the type of breast. Web  paget’s disease is a sign that there might be breast cancer in the tissues behind the nipple.
            
	
		 
	 
         
 
    
         
        From ceanadzl.blob.core.windows.net 
                    Paget's Disease Is Often Associated With at Michael Johnston blog Paget's Disease Breast Metastasis  It is possible for someone. Web paget's disease of the breast is a symptom of underlying breast cancer. Treatment is variable and is determined by the type of breast. Web paget’s disease of the breast is an uncommon type of breast cancer that usually first shows as changes to the nipple. Web paget disease of the breast (also known as. Paget's Disease Breast Metastasis.
     
    
         
        From www.neurologyadvisor.com 
                    Paget's Disease of the Breast and Extramammary Paget's Disease Paget's Disease Breast Metastasis  Web  paget’s disease is a sign that there might be breast cancer in the tissues behind the nipple. Web paget's disease of the breast is a symptom of underlying breast cancer. It is possible for someone. Treatment is variable and is determined by the type of breast. Web paget disease of the breast (also known as paget disease of the. Paget's Disease Breast Metastasis.
     
    
         
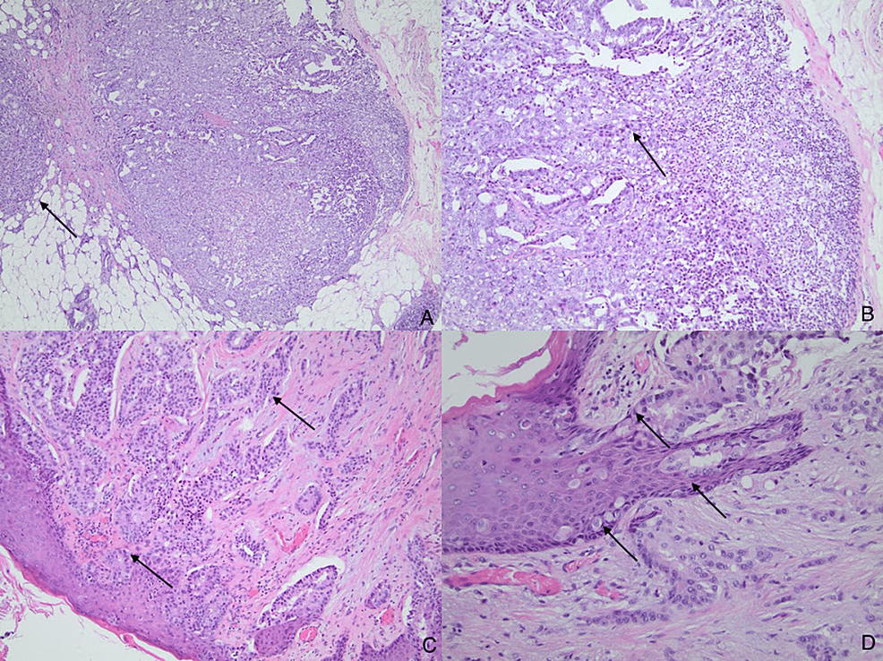
        From www.cureus.com 
                    Cureus Rare Paget’s Disease Associated With Breast Cancer in a 70 Paget's Disease Breast Metastasis  It is possible for someone. Web paget's disease of the breast is a symptom of underlying breast cancer. Web  paget’s disease is a sign that there might be breast cancer in the tissues behind the nipple. Web paget disease of the breast (also known as paget disease of the nipple and mammary paget disease) is a rare type of cancer.. Paget's Disease Breast Metastasis.
     
    
         
        From www.medicalnewstoday.com 
                    Paget's disease of the breast Causes, symptoms, and diagnosis Paget's Disease Breast Metastasis  Web paget disease of the breast (also known as paget disease of the nipple and mammary paget disease) is a rare type of cancer. Web paget’s disease of the breast is an uncommon type of breast cancer that usually first shows as changes to the nipple. Web paget's disease of the breast is a symptom of underlying breast cancer. Web. Paget's Disease Breast Metastasis.
     
    
         
        From learnlooklocate.com 
                    Pagets Disease Breast Treatment Learn Look Locate Paget's Disease Breast Metastasis  Web paget disease of the breast (also known as paget disease of the nipple and mammary paget disease) is a rare type of cancer. Web paget's disease of the breast is a symptom of underlying breast cancer. Treatment is variable and is determined by the type of breast. Web paget’s disease of the breast is an uncommon type of breast. Paget's Disease Breast Metastasis.
     
    
         
        From exozqplsq.blob.core.windows.net 
                    Paget's Disease Of The Breast Histology at Bryan Stansberry blog Paget's Disease Breast Metastasis  Treatment is variable and is determined by the type of breast. Web paget disease of the breast (also known as paget disease of the nipple and mammary paget disease) is a rare type of cancer. Web paget's disease of the breast is a symptom of underlying breast cancer. Web  paget’s disease is a sign that there might be breast cancer. Paget's Disease Breast Metastasis.
     
    
         
        From cekpjkmh.blob.core.windows.net 
                    Paget's Disease Breast Ultrasound at Dwayne Kersey blog Paget's Disease Breast Metastasis  Web paget disease of the breast (also known as paget disease of the nipple and mammary paget disease) is a rare type of cancer. Web paget’s disease of the breast is an uncommon type of breast cancer that usually first shows as changes to the nipple. Web  paget’s disease is a sign that there might be breast cancer in the. Paget's Disease Breast Metastasis.
     
    
         
        From ceadxcgm.blob.core.windows.net 
                    Paget's Disease Breast Painful at Vicki Walker blog Paget's Disease Breast Metastasis  It is possible for someone. Web paget's disease of the breast is a symptom of underlying breast cancer. Treatment is variable and is determined by the type of breast. Web paget’s disease of the breast is an uncommon type of breast cancer that usually first shows as changes to the nipple. Web paget disease of the breast (also known as. Paget's Disease Breast Metastasis.
     
    
         
        From exoytdbvc.blob.core.windows.net 
                    Paget's Disease Breast Mayo Clinic at Shirley Benson blog Paget's Disease Breast Metastasis  Web paget disease of the breast (also known as paget disease of the nipple and mammary paget disease) is a rare type of cancer. Web paget's disease of the breast is a symptom of underlying breast cancer. It is possible for someone. Web  paget’s disease is a sign that there might be breast cancer in the tissues behind the nipple.. Paget's Disease Breast Metastasis.
     
    
         
        From ceadxcgm.blob.core.windows.net 
                    Paget's Disease Breast Painful at Vicki Walker blog Paget's Disease Breast Metastasis  Web  paget’s disease is a sign that there might be breast cancer in the tissues behind the nipple. Web paget’s disease of the breast is an uncommon type of breast cancer that usually first shows as changes to the nipple. Treatment is variable and is determined by the type of breast. Web paget disease of the breast (also known as. Paget's Disease Breast Metastasis.
     
    
         
        From medicine.nus.edu.sg 
                    Breast Paget's Disease NUS Pathweb NUS Pathweb Paget's Disease Breast Metastasis  Web paget’s disease of the breast is an uncommon type of breast cancer that usually first shows as changes to the nipple. Web paget disease of the breast (also known as paget disease of the nipple and mammary paget disease) is a rare type of cancer. Web  paget’s disease is a sign that there might be breast cancer in the. Paget's Disease Breast Metastasis.
     
    
         
        From pubs.rsna.org 
                    Paget Disease of the Breast Mammographic, US, and MR Imaging Findings Paget's Disease Breast Metastasis  It is possible for someone. Web  paget’s disease is a sign that there might be breast cancer in the tissues behind the nipple. Web paget's disease of the breast is a symptom of underlying breast cancer. Web paget’s disease of the breast is an uncommon type of breast cancer that usually first shows as changes to the nipple. Web paget. Paget's Disease Breast Metastasis.
     
    
         
        From pubs.rsna.org 
                    Paget Disease of the Breast Mammographic, US, and MR Imaging Findings Paget's Disease Breast Metastasis  Web paget disease of the breast (also known as paget disease of the nipple and mammary paget disease) is a rare type of cancer. Treatment is variable and is determined by the type of breast. Web paget's disease of the breast is a symptom of underlying breast cancer. It is possible for someone. Web  paget’s disease is a sign that. Paget's Disease Breast Metastasis.
     
    
         
        From jamanetwork.com 
                    Pigmented Mammary Paget Disease Dermoscopic, In Vivo ReflectanceMode Paget's Disease Breast Metastasis  Web paget disease of the breast (also known as paget disease of the nipple and mammary paget disease) is a rare type of cancer. Web paget's disease of the breast is a symptom of underlying breast cancer. Treatment is variable and is determined by the type of breast. It is possible for someone. Web paget’s disease of the breast is. Paget's Disease Breast Metastasis.
     
    
         
        From cekwwfrx.blob.core.windows.net 
                    Metastatic Skeletal Disease Or Paget Disease Of Bone at Joshua Salem blog Paget's Disease Breast Metastasis  Treatment is variable and is determined by the type of breast. Web paget disease of the breast (also known as paget disease of the nipple and mammary paget disease) is a rare type of cancer. Web  paget’s disease is a sign that there might be breast cancer in the tissues behind the nipple. It is possible for someone. Web paget's. Paget's Disease Breast Metastasis.
     
    
         
        From archderm.jamanetwork.com 
                    Pigmented Mammary Paget Disease Dermoscopic, In Vivo ReflectanceMode Paget's Disease Breast Metastasis  Web  paget’s disease is a sign that there might be breast cancer in the tissues behind the nipple. Web paget disease of the breast (also known as paget disease of the nipple and mammary paget disease) is a rare type of cancer. Web paget’s disease of the breast is an uncommon type of breast cancer that usually first shows as. Paget's Disease Breast Metastasis.
     
    
         
        From www.cellnetpathology.com 
                    Cytopathology of lymph nodesFNAC Paget's Disease Breast Metastasis  It is possible for someone. Web paget's disease of the breast is a symptom of underlying breast cancer. Web paget’s disease of the breast is an uncommon type of breast cancer that usually first shows as changes to the nipple. Web paget disease of the breast (also known as paget disease of the nipple and mammary paget disease) is a. Paget's Disease Breast Metastasis.
     
    
         
        From www.sciencephoto.com 
                    Paget's disease of the breast Stock Image M122/0338 Science Photo Paget's Disease Breast Metastasis  Treatment is variable and is determined by the type of breast. Web paget's disease of the breast is a symptom of underlying breast cancer. It is possible for someone. Web paget disease of the breast (also known as paget disease of the nipple and mammary paget disease) is a rare type of cancer. Web  paget’s disease is a sign that. Paget's Disease Breast Metastasis.